多地传出白肺,重症白肺死亡率40%以上,到底怎么回事?
多地传出白肺,重症白肺死亡率40%以上,到底怎么回事?
最近白肺成为让人担心的词,大家都很关心白肺是什么

前央视主持人的父亲,因大面积白肺,抢救无效死亡


澎湃新闻采访了几位一线医生,医生也说“现在重症的白肺患者,死亡率在40%以上。”
剩下的抢救回来的60%重症患者,虽然可以治愈,但无法让肺部恢复到过去状态,绝大部分重症患者会留下肺部纤维化的后遗症。
但是,从医院收治的患者整体来看,新冠直接造成白肺的概率并不高
武汉市第五医院呼吸与危重症科副主任龚子龙说:一天看大概150个病人,发现白肺的患者大概是两三例。
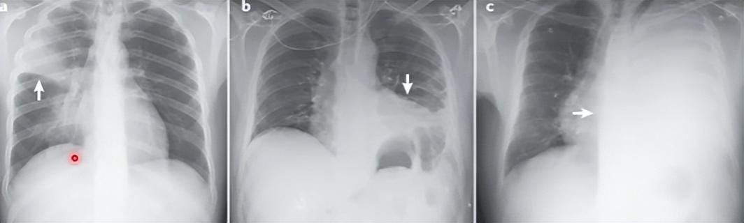
另外白肺也有轻有重

像左边这个“白肺”情况就相对轻,而右边的白肺就明显严重
较轻的白肺治疗康复都比较好,会慢慢恢复。
而表现重症的白肺,死亡率就较高了。
大家会很奇怪,为什么以前很少听到白肺,过去没放开的时候,方舱里隔离那么多人,也没听到过什么白肺。
怎么现在白肺的新闻不断出现呢?

主要原因是,白肺大多出现在抵抗力较弱的老人身上,当然也有些三四十的成年人或者孩子出现白肺的,但大多数是老人。
过去搞方舱隔离的时候,对阳性和密接都加强管控了,这样就大幅减少了老人和脆弱群体接触到病毒的机率
过去阳了的大多是抵抗力较好的,所以没什么白肺。
而今全面放开,老人和脆弱群体接触病毒的机率大幅增加,这些脆弱群体感染新冠病毒后,出现白肺的情况,要比正常人高。
这也是为什么过去方舱隔离都没什么白肺,而现在出现“白肺”的原因
过去我们对高危人群的保护做得很好,但现在高危人群同样容易感染新冠。
那么白肺,是新冠造成的吗?
这也是个关键问题,在上篇文章详细聊过(XXXX),白肺不是病症,而是CT看到的现象
肺部炎症导致肺部出现脓液,CT照下来肺部就呈现白色,这就是白肺
那么是新冠病毒导致肺炎的吗?不是说奥密克戎,不攻击肺部的吗?

确实国外很多研究都显示,相较其他毒株,奥密克戎确实主要攻击上呼吸道,症状也表现为发烧、咳嗽、喉咙痛、浑身痛,攻击肺部情况较少
尤其是在轻症患者中,病毒的攻击到了上呼吸道就结束了。
可是在重症者中,病毒也会攻击肺部,并且可以造成致命损害。
所以奥密克戎不会攻击肺部,这个表述其实不严谨。
奥密克戎会攻击肺部,但主要出现在重症患者中,也就是我们常说的老人或者有严重基础疾病的脆弱人群。
另外还有一点就是,新冠病毒,可能会间接的导致白肺
白肺现象,来自于感染性肺炎,也就是“肺部炎症”
而肺部炎症主要是病毒攻击,或者细菌攻击。
在国外一批阳过的患者中就发现,他们的白肺不是病毒直接造成的,而是间接。

感染新冠后,你的身体会和病毒展开一场战斗,这会让你发烧,让你特别虚弱,身体的抵抗力也会随之下降
虽然新冠病毒可能没有直接攻击你的肺,但它削弱你的抵抗力城墙后,让你患上其他疾病的风险增加。
比如细菌性肺炎

在之前数据里也提过,在新冠重症死亡的54人里,有一半并发了细菌性肺炎。
这些重症患者的白肺,不是新冠病毒直接造成的,而是新冠病毒在降低人体抵抗力后,让细菌有了可乘之机,感染了患者肺部。
所以感染了新冠后,要特别注意静养,因为这时候你的抵抗力会比以前脆弱许多
就算你转阴了,感觉没什么症状了,也要特别注意,因为你症状虽然没有了,但其实你的抵抗力并没有那么快恢复到以前状态
这时候切忌去疯去耍,去做大量运动

还有新冠切忌长时间的“熬、扛”

昨天就有个12岁的孩子一周前感染了新冠,出现发烧和咳嗽,在家吃了三天药后烧退了,但是咳嗽一直没好,后来还出现咳嗽呕吐胸闷的症状
去医院一查,CT下显示白肺,出现肺炎了
感染新冠后,病程一般是7天,而且是一个比较明显的“轻到重”,再“重到轻”的变化过程
如果你的症状较严重,且三四天内都没有变轻或者好转,就应该去医院检查。
特别是发烧,发烧两三天没好转下降迹象的,要去医院查查
还有头疼,咳嗽等类似感冒症状的,持续四五天不好转的,也该去医院查查。
还有种情况就是,症状好转了几天,核酸也转阴了,可突然症状又加重了,又开始咳嗽咳痰发烧的,这就有可能是新冠让抵抗力下降后,感染了其他疾病的
而老年人,更不应该“扛和熬”

因为老年人更容易出现“沉默性肺炎”
什么叫沉默性肺炎?应该叫“沉默性缺氧”
因为老年患者对缺氧的反应较迟钝,有的完全感觉不到胸闷和呼吸困难

樊登就告诫大家,他父亲送医前没有发烧和酸痛症状,食欲也可以,就是有点嗜睡,看似一切正常,可之后拿血氧仪一测,氧饱和度只有88,正常应该在95-100,低于93就要送医了。
送去医院照了CT,发现老人肺部已经大面积白肺,是严重的肺炎。
所以家中有老年人感染新冠的,最好备个血氧仪,监测老人的血氧饱和度,避免出现“沉默性肺炎”这类不幸事件发生

最后新冠病毒将要调整为“乙类乙管”了,并且名字也从“新型冠状病毒肺炎”,改成“新型冠状病毒感染”。
这意味着社会将彻底的放开管控,也意味着更多的人感染。
我们不能夸大病毒的恐慌,但也不能轻视。
它真的是个病,不是开盲盒摸奖,它也不是感冒,症状也没传说的那么轻。
而且不难预计的是,当这“病毒降级”和“改名”后,媒体的关注度也会逐渐下降。
但不能因为关注度下降,就放松对个人的保护和家人保护。
我也会继续和大家分享关于新冠的最新情况。
我们多了解新冠一分,对自己和家人的保护就多一分。
感谢各位的点赞,转发和分享。
关注我,每天带来不一样的热点资讯。
-
- 全球最猛5大战略核潜艇,30分钟内毁灭地球,中国094该排第几?
-
2025-05-29 12:17:35
-
- 广西国家级旅游名胜风景区:桂平西山!
-
2025-05-29 12:15:20
-
- 长篇小说《X》即将上线附第一章
-
2025-05-29 12:13:06
-
- 一词压两宋,孤篇盖全唐指的是什么
-
2025-05-29 12:10:51
-
- 西安年·最中国丨是埙还是陶笛,不要再傻傻分不清了!
-
2025-05-29 12:08:36
-
- 梵高真的割掉了自己的耳朵吗?
-
2025-05-29 12:06:21
-
- 三分钟带你读完《平凡的世界》作者 | 路遥
-
2025-05-29 12:04:07
-
- 质朴地遥望,牵挂的南方,留守的童年,《遥望南方的童年》讲了啥
-
2025-05-29 12:01:52
-
- 清华大学“内门”的创始人,苏世民学院的缔造者,《苏世民》
-
2025-05-29 04:52:44
-
- 重庆这么多八中,到底选哪个?
-
2025-05-29 04:50:30
-
- 中国红客联盟,一战成名却又化于无形,曾把美国著名黑客组织击溃
-
2025-05-29 04:48:15
-
- 涉嫌碰瓷?林清轩与香奈儿的“红山茶花之争”
-
2025-05-29 04:46:00
-
- 湖南十大著名景点
-
2025-05-29 04:43:45
-
- 她一天身价缩水80%:瑞幸咖啡创始人钱治亚究竟是一个怎样的人?
-
2025-05-29 04:41:31
-
- 只要你乖给你买条gai,成华这条新晋网红美食gai要不要?
-
2025-05-29 04:39:16
-
- 陕北说书大师张俊功(1)
-
2025-05-29 04:37:01
-
- 三生三世:夜华护着的结魄灯熄灭了,在天宫里谁最担心和谁最开心
-
2025-05-29 04:34:46
-
- 泛海国际——朝阳公园的标杆楼盘
-
2025-05-29 04:32:31
-
- 演员丁勇岱:一锅馒头赢爱妻,相爱36年零绯闻
-
2025-05-28 18:15:15
-
- 4维空间被证实是真实存在的?如果人类进入4维空间,会变成什么
-
2025-05-28 18:13:00



适合60-80岁老人代步的4种电动车,不限年龄又能上路
76岁退休大妈,连续30年每天一杯沙棘原浆,揭秘沙棘原浆3大谎言